immagine Casi clinici

Casi clinici

Guarda come alcuni pazienti hanno raggiunto un miglioramento estetico e funzionale della loro dentatura

Guarda il prima e dopo

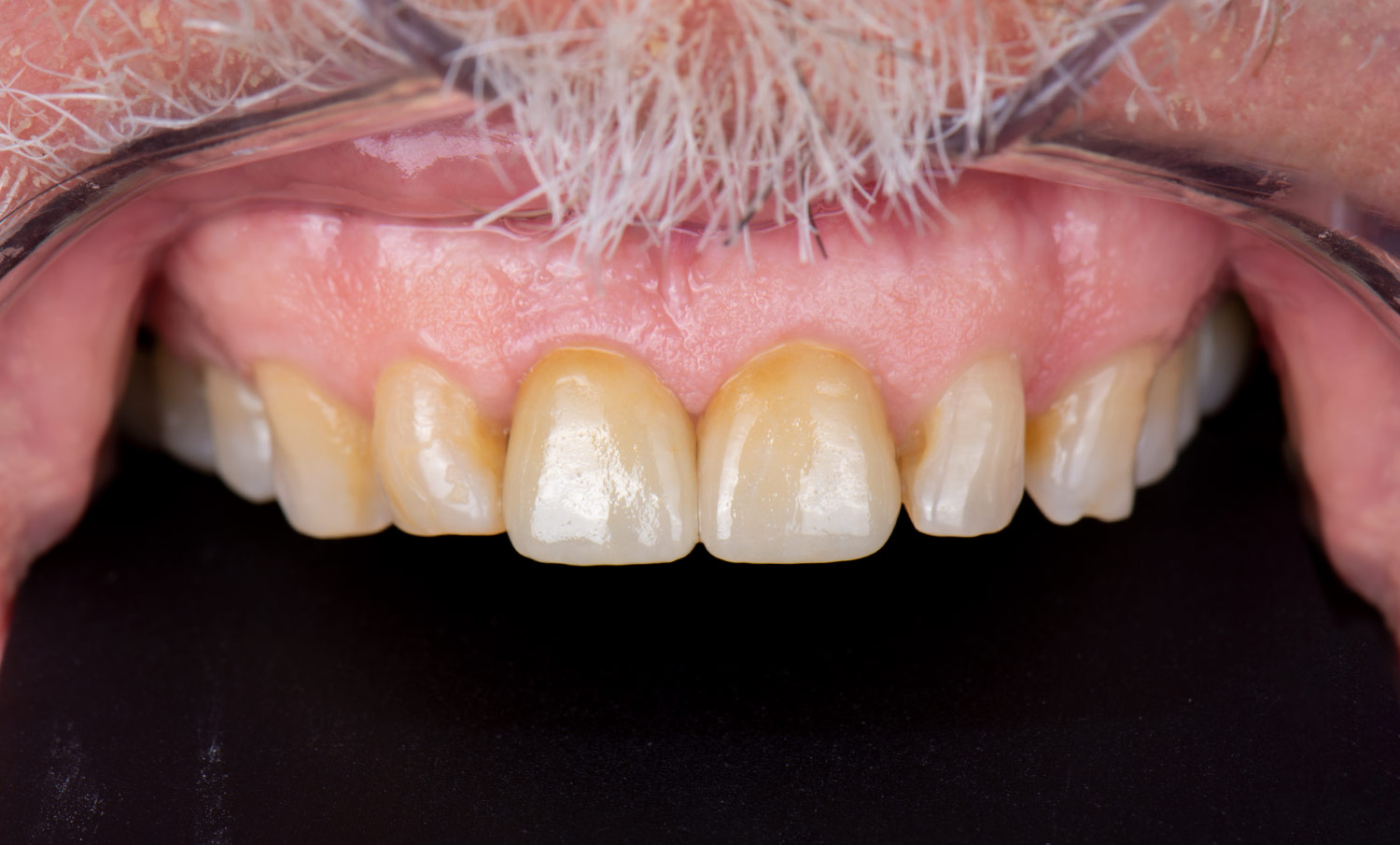
Sostituzione di una vecchia corona in metallo ceramica e faccette sugli incisivi centrali

Recupero estetico e funzionale

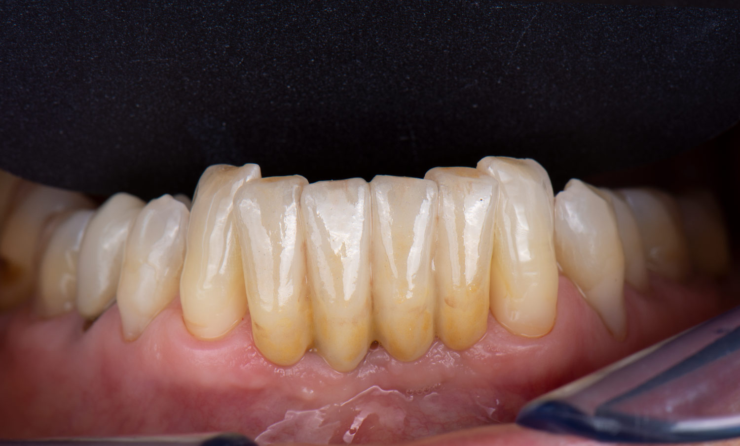
Ripristino del gruppo frontale dell’arcata inferiore con elementi in zirconia ceramica su impianti

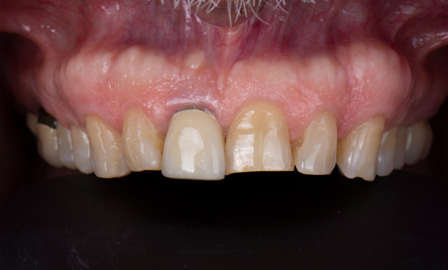
Riabilitazione estetica del settore frontale superiore con faccette in ceramica

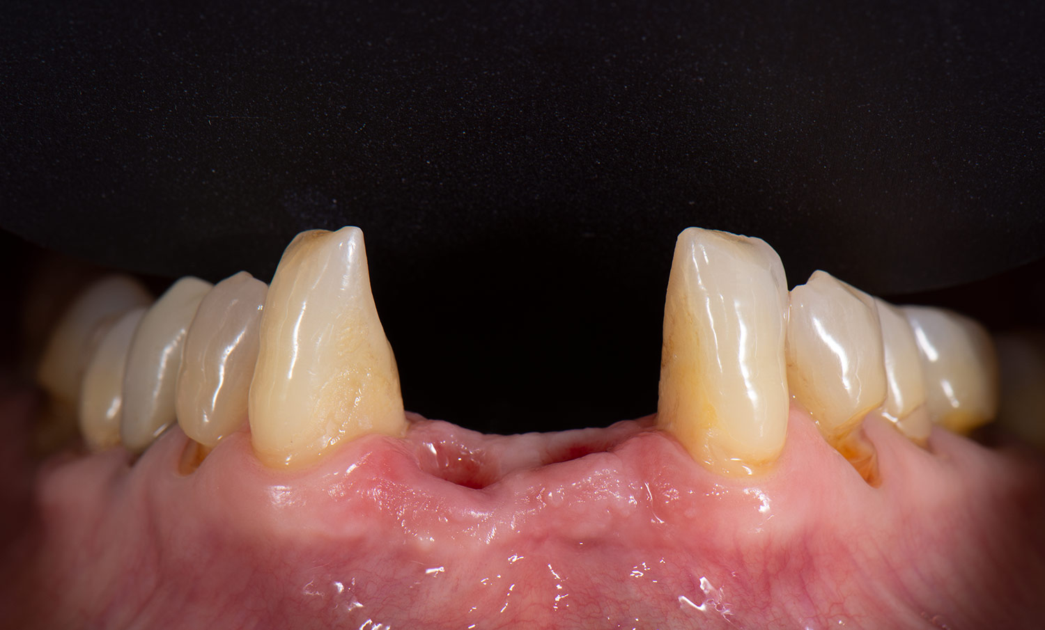
Riabilitazione estetica del settore frontale inferiore con faccette in ceramica

Riabilitazione estetica del settore frontale superiore mediante faccette in ceramica

Riabilitazione dell’arcata superiore con impianti ed elementi in zirconia-ceramica

Riabilitazione dell’intera arcata superiore con elementi in zirconia-ceramica